Trächtigkeit B-Wurf
27. Tag: Ultraschall - Ende der Embryonalperiode
Um den 28. Tag ist die Plazentabildung beendet. Sterben die Fruchtanlagen bis zu diesem Tag ab, werden sie meist unauffällig resorbiert. Am Ende dieser Embryonalperiode sind beim Hund alle wichtigen Organsysteme im Groben angelegt, die endgültige Körperform ist bereits in ihren Grundzügen erkennbar und die Gesichter nehmen Gestalt an. Die Nervenstränge im Rückenmark werden gebildet. Ab diesem Zeitpunkt heißt es auch nicht mehr Embryo, sondern Fötus.
Der Herzschlag der Embryos/der Föten ist von geübten Personen wahrnehmbar. Besonders zwischen dem 24. und 28.Tag der Trächtigkeit sind die 1 bis 2 cm großen Ampullen als kugelige Wölbungen durch erfahrene Geburtshelfer zu ertasten


(Quelle: National Geographics)

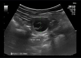
30.-37.Tag: Fruchtampullen wachsen zusammen
Der Fötus durchläuft am 31 /32 Tag noch mal eine spannende und heikle Entwicklung. Es kommt zum so genannten Nabelbruch, d.h. der Darm wird kurzzeitig aus der Körperhöhle verlagert um schneller wachsen zu können.
Die Gebärmutter zeigt zunächst oviole Fruchtampullen , die um den 33. bis 35. Tag ”zusammenfließen” und zu Schläuchen auswachsen. Die Gebärmutter faltet sich, da der
Platzbedarf der Welpen enorm ist.
Um den 35. Tag ist die Organogenese (Organbildung) bei den Welpen abgeschlossen. Bis dahin sind die Welpen äußerst empfindlich für äußere Einwirkungen wie Medikamente (z.B. auch Wurmkuren!), Impfungen, Röntgenstrahlen, Vitaminmangel und –überversorgung, Überhitzung (z.B. im Auto) und Umweltschadstoffe (z.B. Düngemittel in Pfützen), da der Fötus durch die Nabelvene und ‑arterie direkt mit der Mutter verbunden ist.
Auf negative Einflüsse auf die Hündin sollte man deshalb in dieser Zeit ein besonderes Augenmerk richten, da es sonst zu Fehlbildungen oder zum Absterben der Föten kommen kann!
Am 35. Tag sind die Augen & Ohren fertig entwickelt und die Finger sind separiert.

(Quelle: National Geographics)


Tag 34
Tag 33
38. - 45.Tag: Rapides Wachstum
Die Augenlider sind jetzt ausgebildet und die Finger sind vollständig getrennt und gespreizt. Barthaare und Krallen beginnen sich zu entwickeln, ebenso die Form der Handplatte und die Anlage der Augenbrauen. Auch die Hautpigmentation und die Fellfarbe beginnt sich zu entwickeln und ist am 52. Tag abgeschlossen. Die Föten sehen nun aus wie Hunde, das männliche Geschlecht ist bestimmbar (Tag 35). Sie sind jetzt ziemlich resistent gegen Störungen in der Entwicklung. Die Föten wiegen ca. 6 Gramm und sind ca. 45 mm lang.
Der Herzschlag ist aufgrund der ansteigenden Flüssigkeit in der Gebärmutter nicht mehr länger als Diagnosemethode nutzbar. Am 40. Tag wird der Darm wieder in die Körperhöhle verlagert.Das letzte Drittel der Schwangerschaft hat begonnen. Die Föten wachsen jetzt sehr schnell.
3/4 des Wachstums der Föten fällt in dieses letzte Drittel. Wenn die Hündin einen durchschnittlichen oder großen Wurf trägt, kommt es zur Faltung der Gebärmutterhörner, wodurch sich ihre äußeren Linien drastisch verändern. Diese Veränderung wird nicht sichtbar, wenn nur zwei bis drei Welpen vorhanden sind. In den bisher knorpeligen Knochen der Föten beginnt die Verkalkung. Die Welpen können nun leicht unter der Bauchdecke ertastet, jedoch schlecht gezählt werden.
Der Fötus hängt an der Nabelschnur wie ein Raumfahrer im Weltall und bewegt sich frei in der mit Fruchtwasser gefüllten Blase. So ist er fantastisch stoßgesichert. Sein Haarkleid ist noch schütter, die endgültige Pigmentierung ist jedoch schon fertig. Die Ohrmuscheln sind fertig ausgeprägt und auch das typische Merkmale – wie hier das Faltengesicht des Mastiffs – sind lange vor der Geburt zu erkennen. Die Föten hecheln bereits im Mutterleib, dadurch schützen sie sich schon vor der Geburt vor Überhitzung, da ihnen die Schweißdrüsen fehlen. Bei der Hündin merkt man langsam eine Umfangsvermehrung, ein verdicktes Gesäuge und einen verstärkten Appetit. Der Bauch vergrößert sich, ihr Gesamtgewicht kann sich während der Tragzeit um 20 bis 30 % erhöhen.

(Quelle: National Geographics)


56. - 63. Tag: Eine sichere Geburt wäre ab jetzt möglich
Ab diesem Zeitpunkt können die Welpen sicher geboren werden, die Lunge und andere wichtige Lebensfunktionen sind geburtsbereit entwickelt. Augenlider und Gehörgänge sind noch geschlossen. Die letzten vier Tage in der Gebärmutter dienen zur stärkeren Ausprägung der Merkmale, die Welpen nehmen nochmal stark an Gewicht zu. Bereits jetzt sind die Welpen berührungsempfindlich und werden es genießen, wenn man der Hündin regelmäßig den Bauch streichelt. Die Hündin hat weniger Hunger, was durch den Platzmangel im Bauch verursacht wird. Sie verbringt sehr viel mehr Zeit mit der eigenen Körperpflege. Die Zitzen schwellen weiter an, es kann schon zu einer ersten Milchproduktion kommen.
Die durchschnittliche Tragzeit einer Hündin beträgt zwischen 60 und 63 Tagen.

(Quelle: National Geographics)


